经常遇到很多朋友们问,日本干细胞最尖端最先进的技术是哪家,优势又体现在哪里呢。

上图为BMS的日本最大干细胞培养及技术研发中心
日本干细胞治疗技术的研究,一直位列世界医学前沿,也一直致力于早日应用于临床治疗各种疑难病症。

日本国立癌症研究中心

美国阿拉巴马大学伯明翰分校
而处于干细胞研究金字塔尖地位的,正是日本规模最大,研发技术持续处于世界领先水平,常与日本国立癌症研究中心研究所,及美国阿拉巴马大学伯明翰分校等国际知名研究所共同合作研发的干细胞培养技术研发公司:
BioMimetics Sympathies(简称“BMS”),同时也是日本乐敦药业集团(日本最大的医药集团之一,迄今已有120多年历史)的持股关联公司。2013年起乐敦药业集团与BMS实现双方技术共享,共同开展干细胞研发,并一直走在全球顶尖行列,积极开拓“再生医疗”领域。

乐敦药业集团

乐敦药业集团于2020年作为日本首家开展临床试验:用干细胞治疗新冠肺炎重症患者,也同时获得日本多家媒体的持续报道。

用于这种治疗的干细胞是脂肪间充质干细胞。治疗方法是从新冠重症患者的脂肪中收集脂肪间充质干细胞,并使用最安全“AOF”培养基新进行人工培养增殖。增殖的脂肪间充质干细胞以点滴的形式每4周注射一次,每次1亿个左右。
在再生医疗等安全性确保法施行之前,日本最大的干细胞培养研发公司BioMimetics Sympathies(简称“BMS”)就已经为从事再生医疗的医疗机构提供技术支援,开始为饱受顽症和重度残疾痛苦的患者开展再生医疗事业。
从当时起,间充质干细胞就因能有效治疗顽症而闻名,但是由于审批相关法规未健全、以及未达到可提供安全细胞的技术级等课题,因此尚难以实现医疗普及。
为了提供安全的再生医疗,用于细胞培养的培养基等制造相关原料必须保证安全。BMS公司研发出了最新的第三代“不使用动物和人源性成分” Animal Origin Free (AOF) 培养基,不使用任何血清、生物提取物或其源性提纯物,拥有细胞制备所需的培养系统,为从事再生医疗的医疗机构提供最尖端培养技术。乐敦制药于2020年正式成立间充质干细胞专用AOF无血清培养基(品牌名:R:STEM)并开放全球销售。



“不使用动物和人源性成分” Animal Origin Free (AOF) 培养基 7大特点:
特点1: 不含有动物和人源性成分的开发方针。
在开发阶段就能清楚知道对生物源性原料标准的符合性,保证临床阶段的安全性。
特点2: Designed MSC "Nao Cell®
"BMS公司拥有添加因子库,用于对各类疾病领域制备功能强化细胞。间充质干细胞有望对阿尔兹海默症,循环系统疾病(血管动脉硬化)、自体免疫疾病、纤维化灶等各类疾病取得效果。
特点5 安全性试验
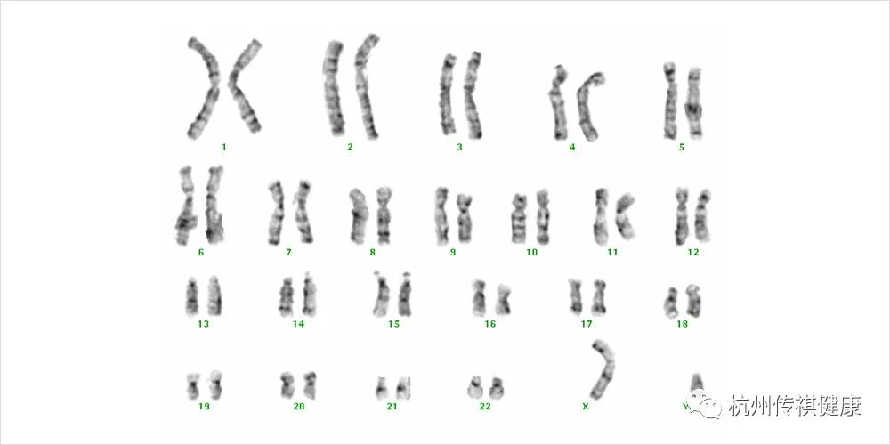
由第三方机构对使用BMS公司培养基制备的细胞进行安全性试验以证实安全性。「致瘤性试验」证实细胞的无致瘤性。「G-band法」证实使用BMS公司培养基培养细胞的染色体正常。
特点6 临床用培养基的制造实绩
从2012年起,BMS公司间充质干细胞用培养基的制造量在再生医疗新法施行后继续保持增长,为制备治疗用细胞积累了大量实绩。
特点7 BMS公司技术被大型制药企业用于制造临床试验药
凭借实绩和安全品质的良好口碑,近年来成功被从事再生医疗等产品开发的制药企业采用,为细胞性医药品的开发提供支持。在不远的将来,运用公司的培养基技术制造可治疗顽症的再生医疗等产品将指日可待。

【 (AOF) 培养基 7大特点详细解读】
特点1
在开发阶段就能清楚地知道对生物源性原料标准的符合性,保证临床阶段的安全性。该产品方针已深深扎根在公司的开发过程中。

特点2
BMS公司培养基是“AOF培养基”,不使用对细胞属性有很大影响的血清,通过添加特定成分来刺激MSC,实现血清培养基所不具备的完美细胞转化。

间充质干细胞有望对循环系统疾病、自体免疫疾病、纤维化等各类疾病取得效果。优异的治疗效果不仅能达到治愈疾病的主要目的,还能削减医疗费、缩短治疗期和提高治疗满意度。
BMS公司拥有添加因子库,用于对各类疾病领域制备功能强化细胞。今后还将实施可进一步改变间充质干细胞特征的基因和miRNA转染。
具有“强力免疫抑制作用”特点的MSC
免疫抑制作用是间充质干细胞的重要功能之一。与传统的血清培养基相比,已证实我公司的细胞具有非常强的免疫抑制作用。因此,对自体免疫疾病也有望获得高有效性。
(下述:活化T细胞增殖抑制试验)

有报告称间充质干细胞对癌症有正面和负面这两方面的作用。将运用BMS公司培养技术制备的间充质干细胞移植至荷瘤模型小鼠,已证实具有抗肿瘤作用且再现性良好。
当使用MSC进行疾病治疗时,即使存在无法检出的癌症,也将有助于提高安全性。另外,BMS公司正在不断研究间充质干细胞(MSC)的抗肿瘤作用机理,它可能与现有抗癌药剂有着不同的机理。如果在将来能进一步强化抗肿瘤作用,发现与其他癌症治疗药联用的协同效应,那么也许在将来间充质干细胞(MSC)能用于癌症治疗。
与日本国立癌症研究中心研究所 分子细胞治疗研究部门的合作研究成果除此之外,还拥有对缺血性疾病重要因子VGEF具有高表达的MSC、以及对阿尔茨海默病元凶物质β-淀粉样蛋白的降解酶 (脑啡肽酶)具有高表达的MSC等多种间充质干细胞制备技术。
这些都是通过控制培养基组分而实现的。今后为了创造出更高功能的年轻间充质干细胞,BMS公司还将实施主调节剂之类的miRNA和mRNA转染,最大限度地发挥间充质干细胞的治疗效果。

特点3 优异的增殖性能
使用BMS公司培养基制备的细胞具有极佳的增殖特性。这一特点能缩短细胞制备期,从而有助于降低制造成本,还有助于避免制造不良偏差事故。
(下述:脂肪组织源性MSC增殖试验)

特点4 对各种疾病动物模型的药效药理试验
迄今为止已证实,BMS公司的间充质干细胞或培养上清液对各种动物疾病模型小鼠的疾病症状有改善作用。部分成果已在国际及日本国内学会发表和论文中进行报告。
对坐骨神经结扎大鼠模型通过尾静脉进行脂肪组织源性MSC (AD-MSC) 单次给药时,对疼痛发病后肢机械刺激的疼痛阈值下降有了长期显著性改善。另外,对神经病变导致背根神经节 (DRG) 中积累的巨噬细胞数量有了显著性抑制。
MSC有望对神经疾病导致的疼痛和带状疱疹性疼痛等难治性神经病理性疼痛有治疗作用。

与日本国立癌症研究中心研究所 癌症患者病态生理研究领域的合作研究成果
在老化导致肠粘膜免疫力下降的小鼠模型报告中,通过尾静脉进行人或小鼠源性脂肪组织源性MSC (AD-MSC) 单次给药时,老化导致肠粘膜免疫下降得到了恢复。在卵清蛋白 (OVA)免疫小鼠中,粪便中的分泌型IgA抗体对OVA的效价有了显著性改善。这些发现表明了用于老龄期感染症预防的可能性。

与美国阿拉巴马大学伯明翰分校 疫苗中心的合作研究成果
对DSS炎症肠病小鼠模型通过尾静脉进行脂肪或脐带组织源性MSC (AD-MSC或UC-MSC) 单次给药,可见DAI评分改善、肠道组织中的炎症性因子表达下降及肠道病理评分的显著改善等结果。

与新泻大学大学院医齿学综合研究科 消化器内科学领域的合作研究成果
特点5 安全性试验
由第三方机构对使用BMS公司培养基制备的细胞进行安全性试验以证实安全性。
对NOG小鼠实施了皮下移植,证实细胞的无致瘤性。

证实使用BMS公司培养基培养细胞的染色体正常。

特点6 临床用培养基的制造实绩
从2012年起,BMS公司间充质干细胞用培养基的制造量累计达到约2,400升 (截至2019年7月)。在再生医疗新法施行后继续保持增长,为制备治疗用细胞积累了大量实绩。今后,致力维持和改善品质,让公司的培养基为再生医疗提供安全保障。


特点7 BMS公司技术被大型制药企业用于制造临床试验药
凭借实绩和安全品质的良好口碑,近年来成功被从事再生医疗等产品开发的制药企业采用,为细胞性医药品的开发提供支持。在不远的将来,运用公司的培养基技术制造可治疗顽症的再生医疗等产品将指日可待。
知识产权战略
作为知识产权战略,BMS公司进行专利注册和保持专有技术权利,拥有很多独家领先技术优势。

END
传祺国际健康总部2015年成立于日本,2019年通过日本外务省、经济产业省联合认证,系外务省医疗签证担保机关(编号B-107),经济产业省官方许可中日跨境医疗支援服务企业。
我们团队所做的每一分努力,每一次付出,为帮助更多坚持在抗癌路上的患者,坚强勇敢地抗争癌症的同时,得到国际专家的权威意见建议,为今后治疗指明方向,为获得更好的生存机会而不懈努力!
【传祺国际健康】微信:385180139